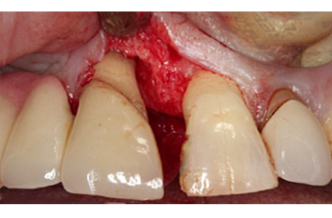
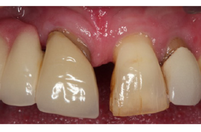
In cases where non-surgical therapy fails to stabilise periodontal disease, surgical treatment may be indicated.

Surgical treatment can improve the longer-term outlook of compromised teeth by improving the gum attachment and in some cases bone support.

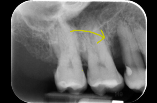
Periodontal surgery provides improved access to the roots and bone hidden under the inflamed gum. The gum is carefully peeled back to allow thorough decontamination of the root surface. Depending on the pattern of bone loss, a decision may be taken to re-contour the bone; which would allow the gum to heal in a more predictable manner.

In certain situations, there may be an opportunity to regenerate the lost bone. Bone grafting materials and special tissue stimulating proteins can be used to aid the re-growth of natural bone and improve the overall support for the tooth.

For more information regarding this treatment

Contact Dr Ikram
Back to Treatment

Ask Dr Ikram Patel

Reviews

star 1

“I was recommended to see Ikram by my own dentist for specialist gum work. I've had complex gum grafting surgery...”

E Collier

star 1

“Ikram did a graft for my receding gum, I was very nervous about the procedure but I was very happy...”

M Greenhalgh

star 1

“I was referred to Mr Patel for gum disease problems that I had been trying to manage for years. I...”

J Bishop

star 1

“I was referred to Ikram a few years ago because of gum disease. I found him full of empathy. He...”

A & S Purvis

star 1

“Ikram is a quiet, considered and diligent gum specialist. He doesn’t beat around the bush if you’ve got a problem...”

Happy Patient of Ikram Patel

star 1

“I’ve been going there for several years. I needed an emergency extraction without an appointment. Mr Patel (excellent dentist) had...”

G Baines

star 1

“I have been a dental patient of Mr. Patel for seven years and during this time he has completed dental...”

N Scru

View Testimonials

Aesthetics are important, but health is paramount.

Think PINK

Mount your smile

Teamwork makes my treatment work

Excellent oral hygiene forms the bedrock to stabilising your gum disease

Gum disease is an unfair condition; genetics plays its part

Don't lose hope

Early treatment, improves outcome

It can be silent

Give your teeth a stronger frame

Do your gums bleed?

periodontics

Your dental health in our hands

Trust me with your smile.

Learn More
Referrals Contact Dr Ikram