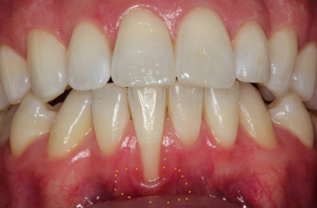
Receding gums can disrupt the gum to tooth ratio, resulting in aesthetic changes to your smile.

It will also expose the roots of your teeth which can increase tooth sensitivity and make it more challenging to maintain good oral hygiene.

The good news is, Dr Patel is able to reverse or at least reduce the risk of further recession with gum grafting techniques.

What causes gum recession?

Gum recession may be initiated by gum disease, overenthusiastic brushing or even orthodontic treatment. Patients with thin gum are more prone to gum recession.

How do you repair receded gums?

The 2 most common types of gum grafting procedures are:

  • Free Gingival Graft: this involves taking a graft from the roof of your mouth which is then attached to the area being treated. The aim of this graft is to thicken your existing gum tissue, in order to make it more robust and reduce the risk of further recession.
  • Pedicle Graft: the gum surrounding the exposed root is moved to cover the area of recession. Patients with thin gum, may require a further graft to improve the quality of their gum. This graft may be taken from the patient’s own mouth or in certain situations we may utilise donated tissue.

For more information regarding this treatment

Contact Dr Ikram
Back to Treatment

Ask Dr Ikram Patel

Reviews

star 1

“I was recommended to see Ikram by my own dentist for specialist gum work. I've had complex gum grafting surgery...”

E Collier

star 1

“Ikram did a graft for my receding gum, I was very nervous about the procedure but I was very happy...”

M Greenhalgh

star 1

“I was referred to Mr Patel for gum disease problems that I had been trying to manage for years. I...”

J Bishop

star 1

“I was referred to Ikram a few years ago because of gum disease. I found him full of empathy. He...”

A & S Purvis

star 1

“Ikram is a quiet, considered and diligent gum specialist. He doesn’t beat around the bush if you’ve got a problem...”

Happy Patient of Ikram Patel

star 1

“I’ve been going there for several years. I needed an emergency extraction without an appointment. Mr Patel (excellent dentist) had...”

G Baines

star 1

“I have been a dental patient of Mr. Patel for seven years and during this time he has completed dental...”

N Scru

View Testimonials

Aesthetics are important, but health is paramount.

Think PINK

Mount your smile

Teamwork makes my treatment work

Excellent oral hygiene forms the bedrock to stabilising your gum disease

Gum disease is an unfair condition; genetics plays its part

Don't lose hope

Early treatment, improves outcome

It can be silent

Give your teeth a stronger frame

Do your gums bleed?

periodontics

Your dental health in our hands

Trust me with your smile.

Learn More
Referrals Contact Dr Ikram